Cytokeratin 10/13 , DE-K13 , IgG2a - 0.5ml

Monoclonal Mouse Antibody to Human
Cytokeratin 10/13 
F, P

Catalog No.: Mob 056 Concentrated 1ml
Mob 056-05 Concentrated 0.5ml

Immunogen: BALB/C mice were immunized with detergent insoluble extract of human epidermis.
Clone: DE-K13
Isotype: IgG2a, kappa
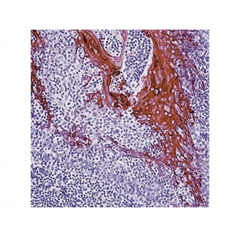
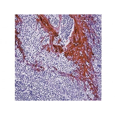
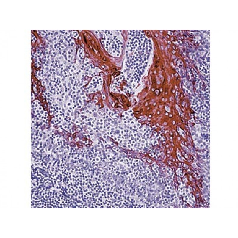
Positive Control: Skin
Cellular Localization: Cytoplasmic
Specificity: This antibody recognizes keratin polypeptides of 53 and 56.5 kDa. It stains suprabasal cells in the epidermis, thymic Hassall’s bodies, urothelium and non-cornifying stratified epithelia of vagina, ectocervix, tongue and oesophagus. This antibody does not stain intraepithelial neoplasm and invasive squamous cell carcinoma.

F=Frozen P=Formalin Fixed Paraffin Embedded H=Heat Induced Pretreatment E=Enzyme Pretreatment

For more information please visit the DBS website at dbiosys.com

 

Additional Information


SKU

PAA-MOB 056-05

Pack of

1

Color

N/A

Hazard

N/A

Storage Type

N/A

Construction

N/A


Write a review

Please login or register to review
  • Product: Cytokeratin 10/13 , DE-K13 , IgG2a - 0.5ml
  • SKU:
  • Availability: Pre-Order

Tags: Cytokeratin 10/13, DE-K13, IgG2a - 0.5ml