Cytokeratin 5&14 , XM26&LL002 , IgG1&IgG3 - 0.5ml

Monoclonal Antibody to
Cytokeratin 5/14 
F, P/H

Catalog No.: Mob 433 Concentrated 1ml
Mob 433-05 Concentrated 0.5ml
PDM 140 Prediluted 6ml

Immunogen: XM26: prokaryotic recombinant protein corresponding to 103 amino acid portion of C-terminal region of the human cytokeratin 5 molecule. LL002: Synthetic peptide of the extreme C-terminal of human keratin-14.
Clone: XM26 + LL002
Isotype: XM26, IgG1; LL002, IgG3
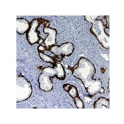
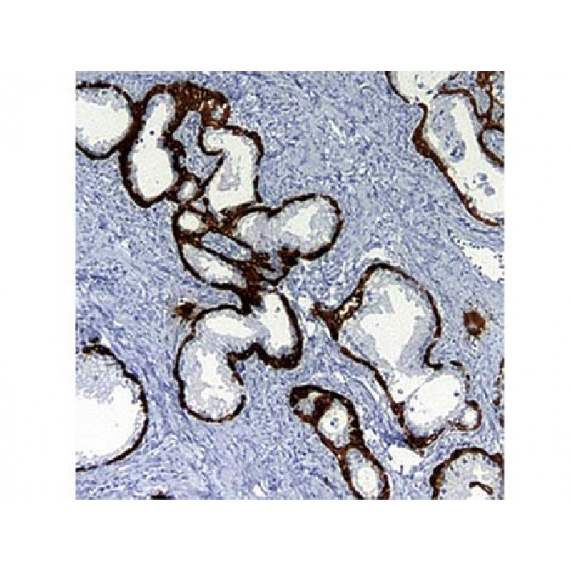
Positive Control: Skin
Cellular Localization: Cytoplasmic
Specificity: This antibody cocktail reacts with cytokeratin 5 intermediate filament protein as well as the 50 kDa cytokeratin protein designated cytokeratin 14. Basal cells of human epidermis express acidic cytokeratin 14 and basic cytokeratin 5. Cytokeratin 5 is a 58 kDa protein, which is closely related to cytokeratin 6. Cytokeratin 5 and 6 are expressed in basal cell epithelioma, basal cells of prostate, urothelium, vagina, squamous cell carcinomas of skin, tongue, epiglottis and rectal-anal region. Cytokeratin 5 can be useful in the distinction of mesotheliomas from most adenocarcinomas.
Cytokeratin 14 belongs to the type A (acidic) subfamily of low MW cytokeratins and exists in combination with cytokeratin 15. This antibody can be useful to distinguish stratified epithelial cells from simple epithelial cells.

F=Frozen P=Formalin Fixed Paraffin Embedded H=Heat Induced Pretreatment E=Enzyme Pretreatment

For more information please visit the DBS website at dbiosys.com

 

Additional Information


SKU

PAA-MOB 433-05

Pack of

1

Color

N/A

Hazard

N/A

Storage Type

N/A

Construction

N/A


Write a review

Please login or register to review
  • Product: Cytokeratin 5&14 , XM26&LL002 , IgG1&IgG3 - 0.5ml
  • SKU:
  • Availability: Pre-Order

Tags: Cytokeratin 5&14, XM26&LL002, IgG1&IgG3 - 0.5ml