Cytokeratin 5&14 , XM26&LL002 , IgG1&IgG3 - 1ml
Monoclonal Antibody to
Cytokeratin 5/14
F, P/H
Catalog No.: Mob 433 Concentrated 1ml
Mob 433-05 Concentrated 0.5ml
PDM 140 Prediluted 6ml
Immunogen: XM26: prokaryotic recombinant protein corresponding to 103 amino acid portion of C-terminal region of the human cytokeratin 5 molecule. LL002: Synthetic peptide of the extreme C-terminal of human keratin-14.
Clone: XM26 + LL002
Isotype: XM26, IgG1; LL002, IgG3
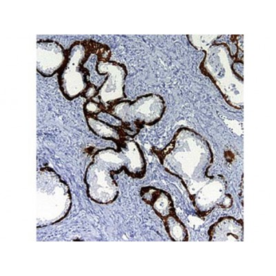
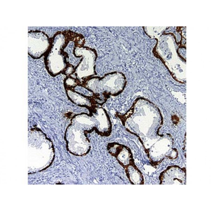
Positive Control: Skin
Cellular Localization: Cytoplasmic
Specificity: This antibody cocktail reacts with cytokeratin 5 intermediate filament protein as well as the 50 kDa cytokeratin protein designated cytokeratin 14. Basal cells of human epidermis express acidic cytokeratin 14 and basic cytokeratin 5. Cytokeratin 5 is a 58 kDa protein, which is closely related to cytokeratin 6. Cytokeratin 5 and 6 are expressed in basal cell epithelioma, basal cells of prostate, urothelium, vagina, squamous cell carcinomas of skin, tongue, epiglottis and rectal-anal region. Cytokeratin 5 can be useful in the distinction of mesotheliomas from most adenocarcinomas.
Cytokeratin 14 belongs to the type A (acidic) subfamily of low MW cytokeratins and exists in combination with cytokeratin 15. This antibody can be useful to distinguish stratified epithelial cells from simple epithelial cells.
F=Frozen P=Formalin Fixed Paraffin Embedded H=Heat Induced Pretreatment E=Enzyme Pretreatment
For more information please visit the DBS website at dbiosys.com
Additional Information
|
SKU |
PAA-MOB 433 |
|
Pack of |
1 |
|
Color |
N/A |
|
Hazard |
N/A |
|
Storage Type |
N/A |
|
Construction |
N/A |
- Product: Cytokeratin 5&14 , XM26&LL002 , IgG1&IgG3 - 1ml
- SKU:
- Availability: Pre-Order

