E2F-1 Transcription Factor , KH95 , IgG2a - 0.5ml

Monoclonal Mouse Antibody to
E2F-1 Transcription Factor 
F, P/H

Catalog No.: Mob 381 Concentrated 1ml
Mob 381-05 Concentrated 0.5ml

Immunogen: BALB/C mice were immunized with a recombinant human E2F-1 protein.
Clone: KH95
Isotype: IgG2a
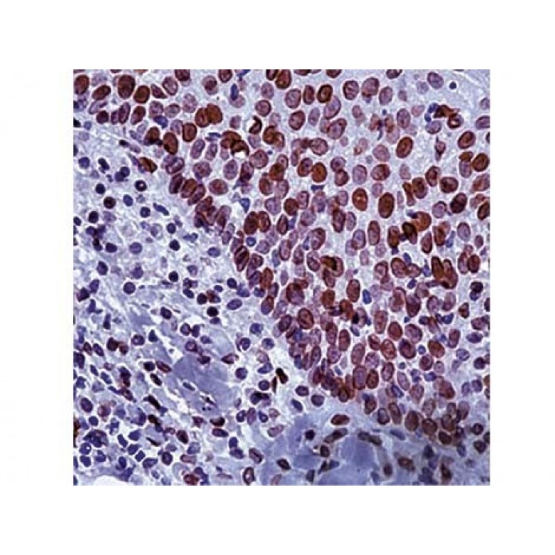
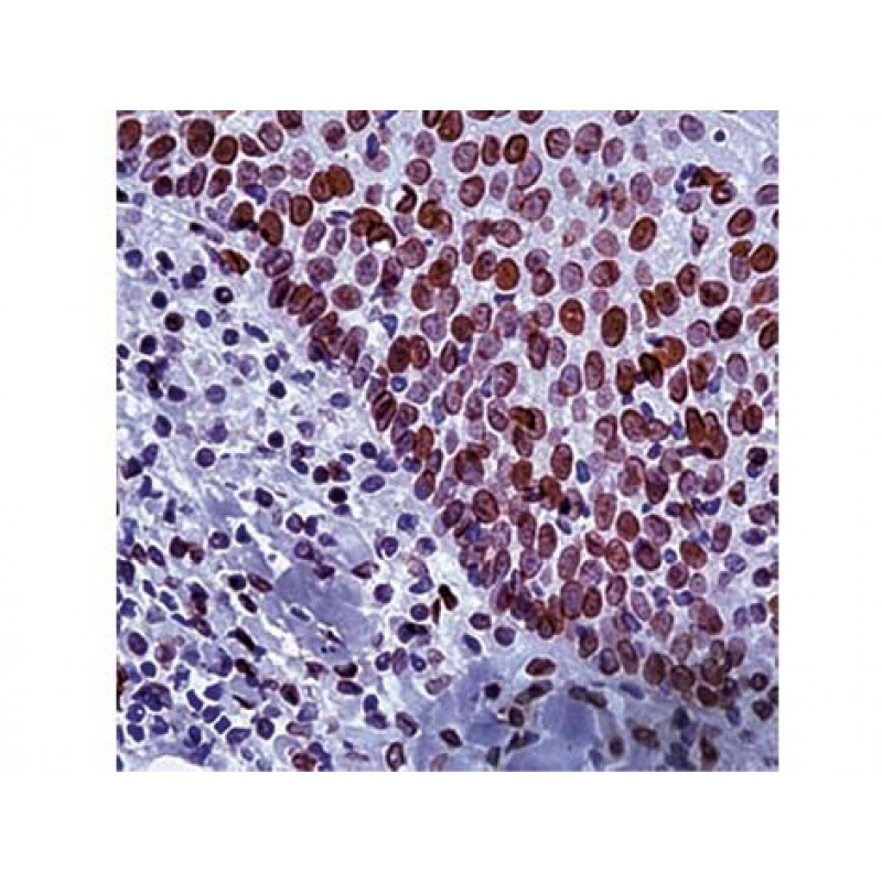
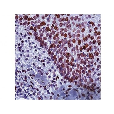
Positive Control: Tonsil, breast carcinoma
Cellular Localization: Nuclear
Specificity: This antibody reacts with a protein of 60kDa. E2Fs are DNA-binding proteins, which associate with negative regulators, such as the retinoblastoma p107 protein, resulting in an altered rate of gene transcription. E2F-1 is proposed to be involved in several cellular processes that range from tumor suppression, cell progression and oncogenesis. E2F-1 over expression can also drive cells into apoptosis. This antibody cross-reacts with mouse.

F=Frozen P=Formalin Fixed Paraffin Embedded H=Heat Induced Pretreatment E=Enzyme Pretreatment

For more information please visit the DBS website at dbiosys.com

 

Additional Information


SKU

PAA-MOB 381-05

Pack of

1

Color

N/A

Hazard

N/A

Storage Type

N/A

Construction

N/A

Write a review

Please login or register to review
  • Product: E2F-1 Transcription Factor , KH95 , IgG2a - 0.5ml
  • SKU:
  • Availability: Pre-Order

Tags: E2F-1 Transcription Factor, KH95, IgG2a - 0.5ml