E2F-4 Transcription Factor , 4E2F04 , IgG1 - 1ml
Monoclonal Mouse Antibody to
E2F-4 Transcription Factor
F, P/H
Catalog No.: Mob 382 Concentrated 1ml
Mob 382-05 Concentrated 0.5ml
Immunogen: BALB/C mice were immunized with a recombinant human E2F-4 protein.
Clone: 4E2F04
Isotype: IgG1
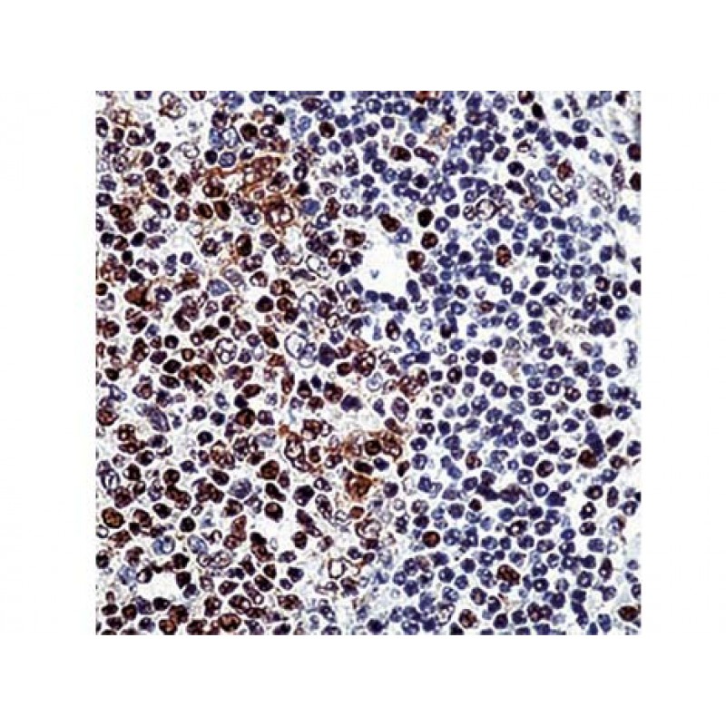
Positive Control: Tonsil
Cellular Localization: Nuclear, cytoplasmic
Specificity: This antibody reacts with a protein of 56 kDa. E2Fs are DNA-binding proteins, which associate with negative regulators, such as the retinoblastoma p107 protein, resulting in an altered rate of gene transcription. E2F-4 is regulated by complex formation with Rb p110. E2F family members bind DNA as heterodimers with members of the DP family of polypeptides. This antibody cross-reacts with rat.
F=Frozen P=Formalin Fixed Paraffin Embedded H=Heat Induced Pretreatment E=Enzyme Pretreatment
For more information please visit the DBS website at dbiosys.com
Additional Information
|
SKU |
PAA-MOB 382 |
|
Pack of |
1 |
|
Color |
N/A |
|
Hazard |
N/A |
|
Storage Type |
N/A |
|
Construction |
N/A |
- Product: E2F-4 Transcription Factor , 4E2F04 , IgG1 - 1ml
- SKU:
- Availability: Pre-Order

