RPA/p34 , 9H8 , IgG1 - 1ml
Monoclonal Mouse Antibody to
RPA/p34
F, P/H
Catalog No.: Mob 329 Concentrated
1ml
Mob 329-05 Concentrated 0.5ml
Immunogen: BALB/C mice were injected with purified human RPA protein.
Clone: 9H8
Isotype: IgG1, kappa
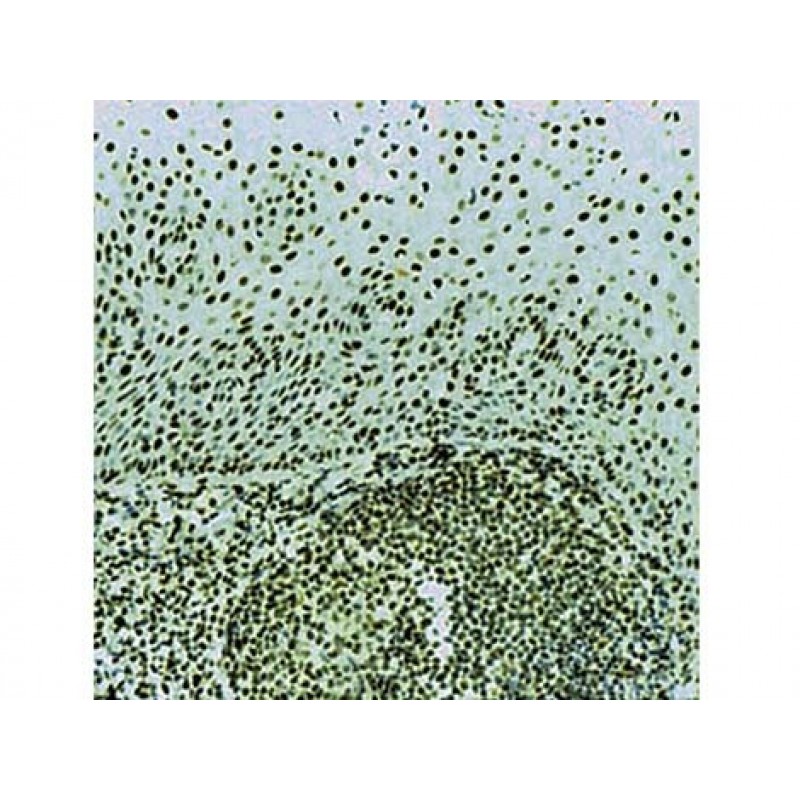
Positive Control: Tonsil
Cellular Localization: Nuclear
Specificity: This antibody reacts with a 32-34 kDa protein known as replication protein A (RPA). RPA is involved in DNA replication, repair and recombination. Human RPA is a stable heterotrimer of 70 kDa, 32-34 kDa and 11-14 kDa subunits (RPA70, RPA32 and RPA14 respectively). RPA is required for the SV40 large tumor antigen-catalyzed unwinding for SV40 DNA and stimulates DNA polymerase á and ä.
F=Frozen P=Formalin Fixed Paraffin Embedded H=Heat Induced Pretreatment E=Enzyme Pretreatment
For more information please visit the DBS website at dbiosys.com
Additional Information
|
SKU |
PAA-MOB 329 |
|
Pack of |
1 |
|
Color |
N/A |
|
Hazard |
N/A |
|
Storage Type |
N/A |
|
Construction |
N/A |
- Product: RPA/p34 , 9H8 , IgG1 - 1ml
- SKU:
- Availability: Pre-Order
Tags: RPA/p34, 9H8, IgG1 - 1ml

