TIMP-2 , 3A4 , IgG2a - 1ml
Monoclonal Mouse Antibody to
TIMP-2
F, P/H
Catalog No.: Mob 318 Concentrated 1ml
Mob 318-05 Concentrated 0.5ml
Immunogen: BALB/C mice were injected with a synthetic peptide from the N-terminal region of human TIMP-2.
Clone: 3A4
Isotype: IgG2a, kappa
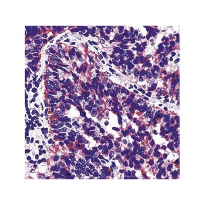
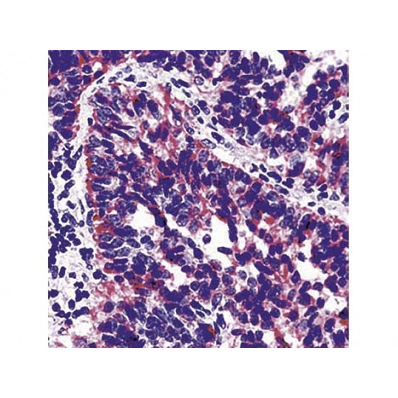
Positive Control: Colon carcinoma
Cellular Localization: Cytoplasmic
Specificity: This antibody is specific to 21 kDa protein known as TIMP-2. TIMP-1 and TIMP-2 are inhibitory enzymes of matrix metalloproteinase family. TIMP are of great importance in the maintenance of connective tissue integrity. TIMP-2 shows the highest binding affinity to both the latent (pro) and active forms of 72 kDa Type IV collagenase (MMP-2) and active form of 92 kDa type IV collagenase (MMP-9). TIMP inhibit the proteolytic invasiveness of tumor cells and normal placental trophoblast cells. This antibody cross-reacts with mouse, rat, rabbit, cow and guinea pig.
F=Frozen P=Formalin Fixed Paraffin Embedded H=Heat Induced Pretreatment E=Enzyme Pretreatment
For more information please visit the DBS website at dbiosys.com
Additional Information
|
SKU |
PAA-MOB 318 |
|
Pack of |
1 |
|
Color |
N/A |
|
Hazard |
N/A |
|
Storage Type |
N/A |
|
Construction |
N/A |
- Product: TIMP-2 , 3A4 , IgG2a - 1ml
- SKU:
- Availability: Pre-Order
Tags: TIMP-2, 3A4, IgG2a - 1ml

